セラミック治療は自由診療で行う審美性・耐久性に優れた差し歯や詰め物をつくる治療です。
保険診療で使用されるレジン(プラスチック)材料に比べ、変色しにくく、ご自身の歯に近い色調と質感をオーダーメイドで再現できます。また、摩耗や破損のリスクが低く、汚れが付着しにくいため衛生的で長期的な安定性が期待されます。
坂井市からもすぐのあわら市にある新家歯科医院では、セラミック治療に対応しておりますので、お気軽にご相談下さい。
セラミックは特有の透明感があり、豊富な色調があるため残存歯と色味を合わせやすく、施術後の見た目も違和感を与えることがありません。
経年劣化に伴い銀歯は腐食したり、プラスチックはすり減りや変色などが起こりやすいですが、セラミックはそれらの心配が少ない素材です。
金属を一切使わない治療の為、金属アレルギーの心配が一切ありません。金属を用いない治療をメタルフリー治療やノンメタル治療とも言われます。
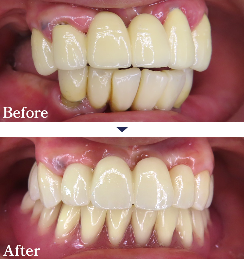
当院で治療を受けられた患者様の症例です。医療広告ガイドラインの限定解除要件を満たし、患者様の同意を得たうえで掲載をしております。
治療経過や治療方法の参考にご確認ください。トリミングを除き、画像の修正は行っておりません。
| 主訴 | 前歯2本の治療 |
|---|---|
| 治療内容 |
初診時は、向かって左の前歯の歯根破折、感染に伴う痛みと排膿を認め、抜歯が必要な状態でした。 また、右の前歯の変色を認めました。手術時は、抜歯と同時にインプラントを埋入し、不足している骨を作ることで手術回数、治療期間の短縮を図りました。最終的に、抜歯部位はインプラントとセラミッククラウン、変色した隣の歯はご自身の歯にセラミッククラウンを装着することで、審美的・機能的な改善を認めました。 治療は以下の流れで進行しました。 ・初診・診断(CT撮影・模型分析) ・インプラント埋入手術(外来・局所麻酔下) ・治癒期間:約3か月(インプラントと骨の結合を待機) ・仮歯の装着、調整後に最終のセラミッククラウンの装着 |
| 治療期間・回数 | 約5か月(初診〜最終セラミック装着まで) ※治癒期間は個人差があります。 |
| 標準費用【自費】 | オールセラミッククラウン(変色歯への処置費用):132,000円(税込み) インプラント治療(抜歯部位への処置費用:手術管理料+インプラント埋入+セラミッククラウン):431,000円(税込み) 骨造成術(骨を作る量により変化):55,000 ~ 110,000円(税込み) 抜歯:11,000円(税込み) |
| リスク・副作用 |
|
| 主訴 | 前歯のブリッジ治療 |
|---|---|
| 治療内容 |
初診時は、ブリッジの支えになっていた歯2本の歯根破折、食事時の痛みを認め、抜歯が必要な状態でした。 また、隣には不適合な差し歯を認めました。手術時は、抜歯と同時にインプラントを埋入するとともに、インプラントを支えにした仮歯を装着することで、治療中に前歯がない期間が生まれないよう配慮しました。最終的に、抜歯部位はインプラントとセラミッククラウンブリッジ、隣の歯はご自身の歯にセラミッククラウンを装着することで、審美的・機能的な改善を認めました。 治療は以下の流れで進行しました。 ・初診・診断(CT撮影・模型分析) ・インプラント埋入手術(外来・局所麻酔下)、仮歯の装着 ・治癒期間:約3か月(インプラントと骨の結合を待機) ・仮歯の修正、調整後に最終のセラミッククラウンの装着 |
| 治療期間・回数 | 約5か月(初診〜最終セラミック装着まで) ※治癒期間は個人差があります。 |
| 標準費用【自費】 | ジルコニアセラミッククラウン(ご自身の歯に装着したもの):99,000円(税込み) インプラント治療(手術管理料+インプラント埋入2本+セラミッククラウンブリッジ):985,000円(税込み) 骨造成術(骨を作る量により変化):55,000 ~ 110,000円(税込み) 抜歯:11,000円(税込み) |
| リスク・副作用 |
|
| 主訴 | 全体的な咬み合わせ治療 |
|---|---|
| 治療内容 |
初診時は、全体的に歯周病の進行を認め、食事時の痛み、上下顎の咬み合わせの不調和を認めました。 上顎は複数本の、下顎は全ての歯の抜歯が必要な状態でした。治療中は歯がない期間が生まれないように、インプラント治療や仮の義歯を用いることで、できる限りの配慮を行いました。 最終的に、上顎はインプラントとご自身の歯を用いたセラミッククラウン、下顎はインプラントを支えにした安定性の高いインプラントオーバーデンチャーを装着することで、審美的・機能的な改善を認めました。 治療は以下の流れで進行しました。 ・初診・診断(CT撮影・模型分析) ・インプラント埋入手術(外来・局所麻酔下)、仮義歯の装着 ・治癒期間:約3か月(インプラントと骨の結合を待機) ・仮歯の修正、義歯の調整後に最終のセラミッククラウン、インプラントオーバーデンチャーの装着 |
| 治療期間・回数 | 約1年(初診〜最終セラミック、義歯装着まで) ※治癒期間は個人差があります。 |
| 標準費用【自費】 | 上顎(インプラントとセラミックを組み合わせた全体治療):2,500,000円(税込み) 下顎(手術管理料+インプラント埋入2本+インプラントオーバーデンチャー):1,100,000円(税込み) |
| リスク・副作用 |
|
二ケイ酸リチウムガラスを主成分とする強度の高いセラミック素材です。
セラミック系素材の中でも圧倒的に丈夫で、また色も白く審美性に優れています。
セラミックを複数重ね合わせることで、色調と質感の再現性に優れています。
坂井市からもすぐのあわら市にある新家歯科医院では、より精度の高いデジタル印象「CEREC Primescan(プライムスキャン)」を導入しております。
正確性の高い口腔内光学スキャナーです。常に安定した、高品質・高精度の修復物を提供することが可能になりました。
従来のような印象材(歯型を採るガムのようなもの)を使わずに口腔内カメラでデジタルで印象を採ることができます。
特殊なカメラで口腔内を撮影するだけで簡単に歯型取りを行えるので、嘔吐反応の強い患者様の負担も大幅に軽減されます。

〒910-4103 福井県あわら市二面1丁目1008
| 診療時間 | 月 | 火 | 水 | 木 | 金 | 土 | 日 |
|---|---|---|---|---|---|---|---|
| 8:30-12:00 | ● | ● | ● | ◎ | ● | ◎ | / |
| 13:30-17:30 | ● | ● | ● | / | ● | / | / |
【休診日】日曜日、祝祭日、◎=8:00-12:00
※最終予約受付は30分前まで